Un grande allevamento commerciale (>2000 scrofe) nella Cina orientale riporta un insolito disturbo di opacità oculare e di cecità in diverse figliate di suinetti sottoscrofa. Le scrofe mangiano e allattano normalmente. Il numero di suinetti nati morti e deboli è leggermente superiore al normale e la mortalità pre-svezzamento è elevata. Cecità, opacità corneale e infiammazione della zona oculare si osservano in alcuni suini di diverse figliate (immagine 1).

I suinetti colpiti sono depressi, letargici e incapaci di succhiare dal capezzolo. Si dice che il tasso di aborto sia piuttosto alto, ma non si osservano tempeste di aborti. Il numero di suini mummificati rientra nei parametri normali. Non sono riportati altri segni clinici. Una rapida revisione dei dati riproduttivi sembra escludere una possibile causa genetica, poiché le linee genetiche non correlate nell'allevamento sembrano essere interessate in modo similare.

La diagnosi differenziale si pone con la malattia dell'occhio blu (ortorubulavirus suino) e l'infezione batterica dell'occhio. La malattia dell'occhio azzurro è causata da un paramyxovirus ed è endemica in alcune parti del Messico. Provoca sintomi del sistema nervoso centrale, polmonite e problemi riproduttivi nei suini da riproduzione, comprese l'orchite e le lesioni corneali nei verri, ma non è stato rilevato in Cina o altrove al di fuori del Messico. La diagnosi preliminare della malattia dell'occhio azzurro verrebbe effettuata osservando segni clinici insoliti e confermata dalla PCR e dall'isolamento del virus.
La carenza di vitamina A potrebbe causare gravi danni agli occhi, ma è altamente improbabile in questo grande allevamento commerciale che alimenta gli animali con diete moderne.
Diagnosi
Uno dei suini colpiti è stato sottoposto ad eutanasia in "forma umanitaria" e sezionato dal personale dell'allevamento. I campioni di tessuti freschi e fissati in formalina (fegato, linfonodi, cervello) e gli occhi freschi del suinetto nella foto (immagine 1) vengono inviati al laboratorio.
Oltre alla lesione agli occhi, non sono state osservate lesioni gravi da parte del personale dell'allevamento. Il liquido intraorbitale aspirato dagli occhi appare limpido e normale. Lo striscio di liquido oculare colorato con Giemsa rivela alcune cellule mononucleate e alcuni batteri a forma di bastoncello (bacilli). Alcuni Escherichia coli irrilevanti sono isolati dal liquido oculare. La possibilità di una causa batterica è esclusa. I campioni di linfonodo, cervello e fegato fissati in formalina vengono elaborati con un metodo di inclusione rapida in paraffina per sezioni di tessuto colorate con ematossilina ed eosina (H&E).

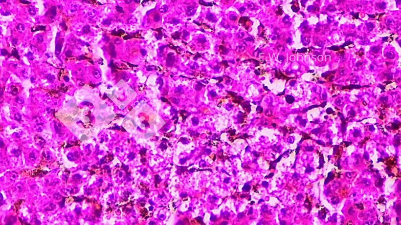
L'esame microscopico del cervello rivela meningoencefalite con cuffia (cuffing) perivascolare e gliosi (immagine 2) e infiltrazione delle meningi con cellule infiammatorie miste mononucleate e polimorfonucleate (immagine 3).

Si osserva necrosi focale nel fegato e corpi inclusi anfofilici intranucleari nel tessuto circostante le aree di necrosi (immagine 4). Viene fatta una diagnosi presuntiva della malattia di Aujeszky (AD Aujeszky's Disease).

La PCR dell'umor vitreo dell'occhio amplifica il DNA del gene US8 (“sequenza unica corta” 8) del Suid alphaherpesvirus 1 (virus di Aujeszky) che codifica per la glioproteina E (gE), che conferma la presenza del virus di campo della AD. Il sequenziamento del frammento amplificato di US8 rivela che il virus rilevato si raggruppa con ceppi varianti recentemente emergenti di tipo 2 AD comuni in Cina (immagine 5).
L'allevamento era noto per essere sieropositivo per gli anticorpi ADVgE. Le scrofe precedentemente infettate saranno sieropositive a lungo termine per ADV gE e trasmetteranno anticorpi anti-gE ai loro suinetti, rendendole sieropositive per ADV fino a 15 settimane di età. Pertanto, quando le scrofe sono per lo più sieropositive, il test degli anticorpi nei suinetti giovani non è utile per la diagnosi della malattia. Gli AD falsi positivi possono essere diagnosticati quando non si comprende la persistenza degli anticorpi gE materni.
Risultato
L'allevamento ha indicato che quando le scrofette PRV-positive sono entrate nell'allevamento, la minaccia della peste suina africana ha interrotto la vaccinazione di routine contro la pseudorabbia (PR). Il fallimento nel programma di vaccinazione per PRV è stato risolto e l'allevamento non ha segnalato più casi simili.
![Figura 5. Albero filogenetico PhyML - PRV gE che mostra ceppi di tipo 1 (simile a kaplan/becker), ceppi "classici" di tipo 2 (simili a Fa/SC/Ea) e ceppi di tipo 2 a virulenza superiore (simili a TJ /hb1201) . I casi recenti di PRV, questo caso [20-1048] e l'encefalite umana PRV hSD1-2019 sono raggruppati con TJ/hb1201.](https://3tre3.it/3tres3_common/art/it/12589/arbol-filogenetico-phyml-prv-ge_247199.png?w=820&q=1&t=1653979446)
Discussione
La Malattia di Aujeszky (AD), nota anche come "Pseudorabbia (PRV)", è stata segnalata come una malattia neurologica fatale nei ruminanti nel 1813 ed è stata spesso confusa con la rabbia nei bovini e nei cani. A causa del prurito intenso e incontrollabile causato dal danno nervoso al circuito del prurito, la condizione era nota come "prurito pazzo" o (mad itch), ma a volte veniva anche definita "paralisi bulbare infettiva". Durante gli anni '30, R.E. Shope riferì che la pseudorabbia in Europa e il prurito pazzo negli Stati Uniti erano la stessa malattia ed era diffusa ed endemica nei suini nella maggior parte dei paesi produttori di suini.

Il suino è l'ospite naturale del virus di Aujeszky (ADV).L'infezione da ADV può essere lieve e passare quasi inosservata o produrre focolai esplosivi con elevata mortalità. Le differenze nella virulenza osservata dell'ADV sono il risultato della variazione del ceppo virale, dei fattori animali e dei fattori casuali.
I segni della ADV nei suini riproduttori si manifestano come una malattia respiratoria e una sindrome riproduttiva virale con aborti, morte embrionale, problemi al parto, mummificazioni, suinetti deboli alla nascita e infertilità.
Infezione oculare da AD nei suini non segnalata in precedenza
I suinetti con meno di 6 settimane di vita possono mostrare segni neurologici, tremori, atassia, convulsioni, diarrea, difficoltà respiratoria ed elevata mortalità. I suinetti infettati durante la lattazione mostrano spesso focolai bianchi di necrosi nelle tonsille, nel fegato e talvolta nella milza. I suini più anziani generalmente mostrano segni respiratori; tosse, dispnea e sindrome respiratoria suina generalizzata quando complicata da problemi coesistenti come infezioni da micoplasmosi, Actinobacillus pleuropneumoniae (App), streptococco, peste suina classica (PSC), ulcere gastriche e scarsa ventilazione. I segni del sistema nervoso centrale (SNC) si verificano occasionalmente nei suini da ingrasso con AD, ma raramente negli animali in età riproduttiva. Le emorragie possono essere viste nel rene. Circovirus suino tipo 2 (PCV2), PSC, PSA e PRRS devono essere inclusi nella diagnosi differenziale o possono essere coinfezioni.
L'ADV si propaga verticalmente mediante scrofe infette in maniera persistente, fomiti, camion e strutture sporche e animali riproduttori infetti. I suini da ingrasso infetti diffondono facilmente l'ADV per via respiratoria all'interno di uno spazio aereo. La trasmissione di aerosol su distanze di diversi chilometri può avvenire in aria fresca e umida.
La malattia di Aujeszky può essere osservata in animali diversi dai suini, in particolare bovini, pecore, visoni, cani e gatti. Anche i pulcini appena nati sono suscettibili. Cani resistenti sono stati rilevati negli allevamenti di suini infetti da ADV, ma generalmente questi animali sono suscettibili e muoiono dopo la comparsa dei segni del sistema nervoso centrale.
La Malattia di Aujeszky dovrebbe essere considerata una zoonosi?
Gli esseri umani sono relativamente resistenti. L'infezione nell'uomo è estremamente rara, sebbene il virus sia in grado di replicarsi in cellule umane in coltura. L'infezione nell'uomo con segni clinici lievi è stata segnalata dall'esposizione a cani e gatti, con guarigione dal virus e sieroconversione. Recentemente, in Cina sono stati documentati diversi casi gravi di encefalite ed endoftalmite umana tra i lavoratori addetti ai suini, i veterinari di suini e gli operatori dei macelli. Generalmente, una storia di lesioni o traumi è associata a un'infezione umana così grave. Il virus rilevato in casi recenti di ADV negli esseri umani si raggruppa strettamente con l'ADV rilevato in questo caso (immagine 5).
Sono disponibili vaccini buoni ed efficaci?
La vaccinazione è efficace nel ridurre la gravità e la diffusione dell'ADV. L'ADV può essere eradicata con la tecnologia attuale, ma è endemica in gran parte delle principali province produttrici di suini della Cina, con una prevalenza per allevamento che si avvicina al 60% nelle aree ad alta densità di suini. In Cina sono disponibili vaccini morti e vivi modificati per l'uso negli allevamenti e la maggior parte dei vaccini contro Aujeszky. Normalmente i vaccini ADV utilizzati nel mondo hanno una delezione nel gene gE che li rende avirulenti nel caso di vaccini vivi modificati e che conferisce capacità DIVA (differenziazione di animali infetti e vaccinati, in inglese Differentiation of Infected and Vaccinated Animals). I primi vaccini deleti del gE furono il vaccino vivo avirulento a piccola placca (K) di Bartha (1961) e il vaccino di Bucarest (Buk), noto come "Norden". Vengono utilizzati vaccini ADV con delezioni parziali o complete di gE. Usato in combinazione con una strategia DIVA e sanificazione/isolamento con un sistema di produzione "All In/All Out", il vaccino è uno strumento utile per l'eliminazione e l'eradicazione di Aujeszky. Non induce l'immunità sterilizzante né crea una "bolla magica" attorno al suino per proteggerlo dalle infezioni in condizioni di campo fluttuanti. Tuttavia, le scrofe vaccinate ripetutamente contro l'ADV producono un'immunità umorale passiva che protegge i loro suinetti dalle infezioni fino al periodo successivo allo svezzamento. È improbabile che le scrofe vaccinate ripetutamente trasmettano il virus ADV ai suinetti o alle scrofette non esposte. I vaccini morti sono più efficaci di quelli vivi modificati come richiamo, ma l'esperienza ha dimostrato che il vaccino vivo modificato può essere "abbastanza buono" come richiamo nelle situazioni in cui il vaccino morto non è disponibile. Quando le scrofette di scrofe vaccinate vengono vaccinate, allevate in lotti "All In/All Out" ed entrano in un allevamento di scrofe vaccinate, possono rimanere negative e progressivamente sostituire le scrofe infette. Il virus di Aujeszky è stato eliminato da allevamenti, aree ed interi paesi con questo metodo.
Aujeszky di maggiore virulenza
Dal 2011 circa, in Cina sono state segnalate varianti di pseudorabbia con "virulenza aumentata". I ceppi "occidentali" di Aujeszky come Kaplan, Becker e Bartha appartengono al gruppo di tipo 1 (immagine 5). Si noti che Bartha K-61 ha una delezione completa del gE. Il virus Aujeszky (ADV) "classico" di Cina/Asia " {Ea, Fa, SC} è di tipo 2. Ceppi varianti di tipo 2 {TJ, hb1201, jsy7-2021,...} sono implicati in recenti focolai di malattia di Aujeszky (AD) di "virulenza aumentata" (con patologia più grave rispetto al classico tipo 2). Aujeszky da encefalite/oftalmite umana, come quella mostrata in GenBank: MT469550 (hSD1-2019), si sta raggruppando con il virus 20-1048 rilevato in questo caso eccezionale, nonché con ceppi di maggiore virulenza (immagine 5). Parte dell'aumento della virulenza può essere dovuto a cambiamenti nella glicoproteina gE, per la quale i vaccini deleti Bartha non stimolano l'immunità, o a cambiamenti in altri loci.
L'eradicazione della malattia di Aujeszky (AD) è possibile e fattibile, ha importanti implicazioni per la sostenibilità, la sicurezza alimentare e la salute umana ed eliminerebbe un'importante fonte di perdite negli allevamenti di suini.










