Foto della settimana

Settimana del 17-Mag-2023
Qual è la causa di questa lesione?

Settimana del 10-Mag-2023
Qual è la causa di questa lesione?

Settimana del 03-Mag-2023
Che tipo di lesione è?

Settimana del 26-Apr-2023
Come si chiama questo parassita?

Settimana del 19-Apr-2023
La causa dell'ipertrofia della milza è dovuta a :

Settimana del 12-Apr-2023
Quale agente patogeno è più frequente in queste artriti?

Settimana del 05-Apr-2023
Quali sono le cause di questa splenomegalia?:

Settimana del 29-Mar-2023
Quale lesione si osserva in questa immagine ?

Settimana del 22-Mar-2023
L'eziologia di questa emorragia è.....

Settimana del 15-Mar-2023
Le lesioni cutanee da mal rosso si osservano meglio:

Settimana del 08-Mar-2023
Dove si trovano questi vermi adulti?

Settimana del 01-Mar-2023
Qual è la causa di questa melanosi maculosa?

Settimana del 22-Feb-2023
Qual è la causa più probabile di questa lesione?

Settimana del 15-Feb-2023
L'ittero generalizzato si presenta con:

Settimana del 08-Feb-2023
Come ci si deve comportare quando si rompe un ago in seguito ad una iniezione intramuscolare?

Settimana del 01-Feb-2023
Quali sono i fattori di rischio della necrosi delle orecchie?

Settimana del 25-Gen-2023
L'ermafroditismo nei suini :

Settimana del 18-Gen-2023
Le vesciche osservate in questo enfisema intestinale sono ripiene di:

Settimana del 11-Gen-2023
Qual è la correlazione tra la coda ed il polmone?

Settimana del 04-Gen-2023
Che cosa ha causato questo ematoma al lombo?

Settimana del 28-Dic-2022
Di che lesione si tratta?

Settimana del 21-Dic-2022
Qual è la natura di questa lesione?

Settimana del 14-Dic-2022
Qual è la causa di questo ascesso?

Settimana del 07-Dic-2022
Qual è la causa più probabile degli ascessi nel prosciutto?

Settimana del 30-Nov-2022
A quale patologia si associa questa lesione cutanea?

Settimana del 23-Nov-2022
Che malattia è associata a questa lesione?

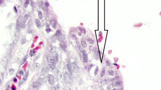
Settimana del 16-Nov-2022
Quale microrganismo (freccia) si trova all'interno della mucosa dell'intestino tenue di questo suinetto con diarrea?